Dientes Flojos en Adultos: Causas, Tratamientos y Cuándo Preocuparse en Badajoz
CLÍNICA DENTAL ADES
1/30/20253 min leer


Dientes Flojos en Adultos: Causas, Tratamientos y Cuándo Preocuparse en Badajoz
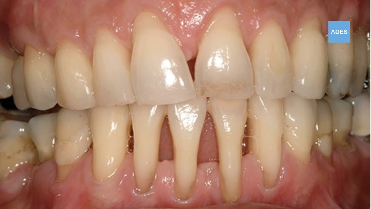
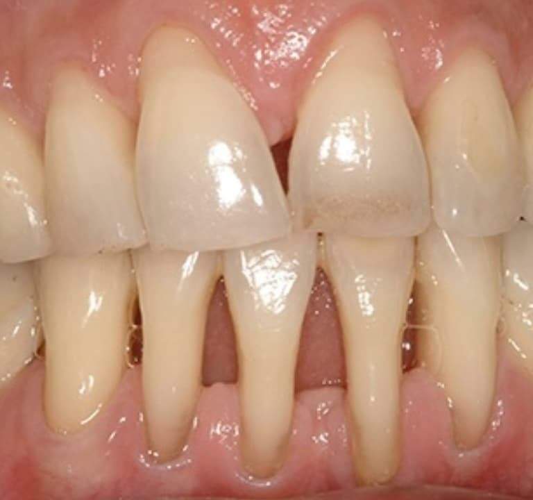
¿Sientes que uno de tus dientes se mueve? Aunque es normal en niños, un diente flojo en adultos es una señal de alerta que no debe ignorarse. En Clínica Dental ADES, en Badajoz, tratamos este problema con soluciones personalizadas para evitar la pérdida dental y recuperar la estabilidad de tu sonrisa.
En este artículo, te explicamos las causas más comunes de los dientes flojos en adultos, qué hacer si notas movilidad dental y los mejores tratamientos para solucionarlo.
¿Por Qué se Aflojan los Dientes en Adultos?
Existen varias razones por las que un diente puede perder estabilidad:
Enfermedades de las Encías (Periodontitis):
La causa más frecuente de dientes flojos.
La acumulación de placa bacteriana provoca inflamación y pérdida del hueso de soporte.
Bruxismo (Rechinar los Dientes):
La presión constante puede debilitar los ligamentos que sostienen los dientes.
Traumatismos o Golpes:
Un impacto en la boca puede aflojar los dientes o dañar la raíz.
Pérdida Ósea por Osteoporosis:
La disminución de la densidad ósea afecta la estabilidad dental.
Diabetes y Problemas de Salud Sistémicos:
Condiciones como la diabetes pueden afectar la cicatrización y la salud de las encías.
Hábitos Nocivos (Tabaquismo, Mala Higiene):
El tabaco reduce la circulación sanguínea en las encías y favorece infecciones.
¿Qué Hacer si Tienes un Diente Flojo?
Si notas movilidad en uno o más dientes, sigue estos pasos:
✅ Evita moverlo con la lengua o los dedos.
✅ No mastiques con ese lado de la boca.
✅ Mantén una buena higiene bucal para evitar infecciones.
✅ Consulta a un dentista lo antes posible.
Importante: No todos los dientes flojos significan pérdida dental. Con un tratamiento adecuado, en muchos casos se pueden salvar.
Tratamientos para los Dientes Flojos en Clínica Dental ADES
En Clínica Dental ADES, en Badajoz, ofrecemos varios tratamientos según la causa del problema:
1. Tratamiento Periodontal (Si Hay Enfermedades de las Encías)
Limpieza profunda (raspado y alisado radicular) para eliminar bacterias.
Terapias regenerativas para recuperar el hueso y los tejidos dañados.
2. Férulas Dentales para Estabilizar los Dientes
Unimos el diente flojo con los dientes vecinos mediante una férula especial.
Esto permite que los tejidos se regeneren y el diente se vuelva más estable.
3. Corrección del Bruxismo
Si el problema es el rechinar de dientes, diseñamos férulas de descarga personalizadas.
4. Injertos Óseos (Si Hay Pérdida de Hueso)
Técnica avanzada para regenerar el hueso y recuperar el soporte dental.
5. Implantes Dentales (Si el Diente no Puede Recuperarse)
En casos donde el diente no puede salvarse, ofrecemos implantes dentales de alta calidad para restaurar la sonrisa.
¿Cuándo Deberías Preocuparte por un Diente Flojo?
🔴 Si el diente se mueve más de lo normal o sientes dolor.
🔴 Si notas inflamación o sangrado en las encías.
🔴 Si has recibido un golpe en la boca recientemente.
🔴 Si tienes antecedentes de enfermedad periodontal.
Si presentas alguno de estos síntomas, agenda una revisión con nuestro equipo de Clínica Dental ADES en Badajoz.
Preguntas Frecuentes sobre Dientes Flojos en Adultos
1. ¿Un Diente Flojo Siempre se Pierde?
No necesariamente. Si se detecta a tiempo, existen tratamientos para estabilizarlo y evitar su pérdida.
2. ¿Puedo Comer Normalmente con un Diente Flojo?
Se recomienda evitar alimentos duros y masticar con el lado opuesto hasta recibir tratamiento.
3. ¿Cómo se Puede Prevenir la Movilidad Dental?
Manteniendo una buena higiene bucal, evitando el bruxismo y realizando revisiones periódicas con tu dentista.
Por Qué Elegir Clínica Dental ADES en Badajoz para Tratar los Dientes Flojos
En Clínica Dental ADES, ofrecemos atención especializada para detener la movilidad dental y salvar tus dientes:
✔️ Diagnóstico Preciso: Radiografías digitales para detectar la causa del problema.
✔️ Tratamientos Personalizados: Desde férulas hasta regeneración ósea.
✔️ Tecnología Avanzada: Procedimientos mínimamente invasivos.
✔️ Ubicación Céntrica: Estamos en Calle Castillo de Zafra 1, Local, Badajoz, con fácil acceso.
Agenda tu Consulta Hoy
Si notas que uno de tus dientes se mueve, no lo ignores. En Clínica Dental ADES, en Badajoz, te ofrecemos soluciones eficaces para estabilizar tu sonrisa y evitar la pérdida dental.
📞 Teléfono: 693630943
🌐 Web: centrosades.es
📍 Dirección: Calle Castillo de Zafra 1, Local, 06006, Badajoz
ADES
Centro integral en Badajoz: clínica dental, nutrición, fisioterapia y estética. Formación oficial única. Experiencia, tecnología, excelencia en salud y formación.
Servicios
Te llamamos
© 2024. All rights reserved.
