Tratamientos de Ortodoncia en ADES Clínica Dental
En ADES Clínica Dental, ofrecemos soluciones personalizadas de ortodoncia para mejorar tanto la estética como la funcionalidad de tu sonrisa. Utilizamos las técnicas más avanzadas y los mejores materiales, adaptados a las necesidades de cada paciente.
Ortodoncia a tu Medida: Visita Gratuita y Diagnóstico Personalizado
En ADES Clínica Dental Badajoz, estamos comprometidos con ofrecerte un servicio integral desde el primer momento. Queremos que empieces con el pie derecho, por eso tu primera visita incluye una radiografía panorámica, escaneado 3D y un presupuesto personalizado, todo sin compromiso.
Rellena el formulario y nos pondremos en contacto contigo para agendar tu cita. ¡Da el primer paso hacia una sonrisa perfecta!
Tu Primera Visita Incluye:
🦷 Radiografía panorámica de alta definición📸 Fotografías clínicas detalladas 🖥️ Escaneado Dental 3D de última generación🔍 Valoración bucodental exhaustiva y diagnóstico preciso 📋 Opciones personalizadas de plan de tratamiento 💰 Presupuesto detallado y sin compromiso
Beneficios de la Ortodoncia
Mejora la estética de tu sonrisa.
Facilita la higiene dental.
Evita el desgaste desigual de los dientes.
Reduce los problemas de articulación temporomandibular.
Previene complicaciones a largo plazo como caries y enfermedades de las encías.
¿Qué es la Ortodoncia y cuándo es necesaria?


Ortodoncia Infantil
Tratamientos especializados para los más pequeños, asegurando sonrisas saludables desde temprana edad.




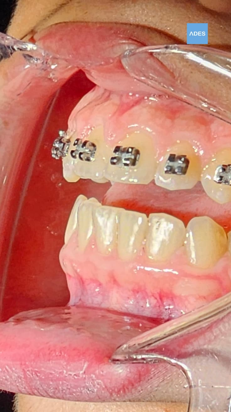
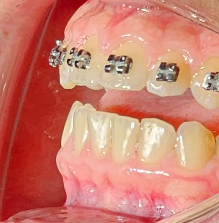
Ortodoncia Tradicional
Brackets metálicos y cerámicos para corregir la alineación dental de manera efectiva.
Ortodoncia Invisible
Soluciones discretas y cómodas para alinear tus dientes sin brackets visibles.
La ortodoncia se encarga de corregir problemas de malposición dental y de las estructuras óseas de la mandíbula. El objetivo no es solo mejorar la apariencia de los dientes, sino también garantizar un correcto alineamiento que favorezca la salud bucal y el bienestar general. La ortodoncia es fundamental para evitar problemas como el desgaste dental, dificultades al masticar o hablar, y dolores mandibulares a largo plazo.
Tratamientos Personalizados
En ADES Clínica Dental, cada tratamiento de ortodoncia es completamente personalizado. Realizamos un estudio detallado con tecnología de última generación como el TAC dental en 3D y el escáner intraoral, lo que nos permite obtener impresiones digitales precisas y ahorrar tiempo en el proceso.
Ofrecemos una amplia gama de opciones ortodónticas, incluyendo:
Ortodoncia tradicional con brackets:






Los clásicos brackets metálicos, duraderos y efectivos.
Ortodoncia estética:
Brackets cerámicos o de zafiro que se mimetizan con el color de tus dientes para un tratamiento más discreto.
Ortodoncia invisible:
Tratamientos con alineadores invisibles (Invisalign), ideales para quienes buscan una solución prácticamente imperceptible.
¿Cómo funciona el tratamiento?
El proceso de tratamiento ortodóntico en Clínica Dental ADES Badajoz sigue varias etapas:




Primera consulta gratuita:
En la Clínica Dental ADES Badajoz, entendemos que una sonrisa hermosa puede aumentar tu confianza, y tu viaje hacia esa confianza comienza con tu primera visita. Nuestros ortodoncistas expertos recopilarán tu historial médico completo y escucharán atentamente tus metas. Realizaremos un examen inicial para determinar el mejor momento para iniciar tu tratamiento. Si es necesario esperar, programaremos revisiones regulares. Te proporcionaremos información clara sobre los costos del estudio completo. ¡Comienza tu viaje hacia una mayor confianza hoy mismo!
Estudio detallado:
En la Clínica Dental ADES Badajoz, creemos que la precisión milimétrica es esencial para lograr resultados excepcionales en ortodoncia. Nuestro estudio dental utiliza radiografías digitales de alta resolución para analizar tu estructura ósea y dental con exactitud. El escáner intraoral 3D crea un modelo virtual preciso de tu dentadura, permitiéndonos planificar movimientos dentales con una precisión de décimas de milímetro. Nuestro sistema de fotografía dental de alta definición captura cada detalle de tu sonrisa actual. Este proceso meticuloso, que toma aproximadamente una hora, nos proporciona los datos necesarios para crear un plan de tratamiento altamente preciso y personalizado. En ADES Badajoz, la precisión milimétrica se traduce en sonrisas perfectas.


Plan de tratamiento personalizado:
Nuestro plan de tratamiento ortodóncico está diseñado para resolver problemas específicos de alineación dental y maloclusión. Desde mantenedores de espacio hasta correcciones complejas, cada tratamiento es personalizado para obtener resultados duraderos y efectivos.


Fase de Retención en Ortodoncia: El Paso Clave para Mantener tu Sonrisa:
En ADES Clínica Dental, la fase de retención ortodóntica es clave para garantizar que los resultados obtenidos se mantengan a largo plazo. Ofrecemos dos tipos de retenedores: el retenedor transparente tipo Essix para un uso cómodo y discreto mientras duermes, y el retenedor fijo o lingual, que se adhiere a la parte posterior de los dientes para mayor estabilidad.
Preguntas frecuentes sobre ortodoncia - Clínica Dental ADES Badajoz
¿Qué es la ortodoncia y para qué sirve?
La ortodoncia es una especialidad odontológica que corrige la posición de los dientes y los huesos maxilares. En Clínica Dental ADES Badajoz, utilizamos la ortodoncia para mejorar la estética de tu sonrisa, facilitar la higiene dental, prevenir problemas de mandíbula y mejorar la función masticatoria.
¿Qué tipos de ortodoncia ofrecen en Clínica Dental ADES Badajoz?
En nuestra clínica ofrecemos diversos tipos de tratamientos ortodóncicos:
Ortodoncia tradicional con brackets metálicos
Ortodoncia con brackets autoligables
Ortodoncia estética con brackets de cerámica
Ortodoncia invisible con alineadores transparentes
Ortodoncia lingual (brackets en la cara interna de los dientes)
¿A qué edad se puede comenzar un tratamiento de ortodoncia?
Aunque la ortodoncia puede iniciarse a cualquier edad, en Clínica Dental ADES Badajoz recomendamos una primera evaluación alrededor de los 7 años. Sin embargo, nunca es tarde para mejorar tu sonrisa. Tratamos a pacientes de todas las edades en nuestra clínica de Badajoz.
¿La ortodoncia es dolorosa?
Aunque puede haber cierta incomodidad inicial, especialmente después de los ajustes, en Clínica Dental ADES Badajoz utilizamos técnicas y materiales modernos que minimizan las molestias durante el tratamiento. Nuestro equipo te proporcionará consejos para manejar cualquier malestar.
¿Cuánto tiempo dura un tratamiento de ortodoncia?
La duración del tratamiento varía según cada caso. En general, en Clínica Dental ADES Badajoz, nuestros tratamientos de ortodoncia suelen durar entre 18 y 24 meses. Durante tu consulta inicial en nuestra clínica de Calle Castillo de Zafra 1, podremos darte una estimación más precisa.
¿Puedo practicar deportes durante el tratamiento de ortodoncia?
Sí, puedes seguir practicando deportes durante tu tratamiento de ortodoncia. Sin embargo, en Clínica Dental ADES Badajoz recomendamos el uso de protectores bucales específicos para ortodoncia, especialmente en deportes de contacto. Consulta con nuestros especialistas para más información.
¿Cómo debo cuidar mi ortodoncia?
El cuidado adecuado es crucial para el éxito del tratamiento. En Clínica Dental ADES Badajoz, te proporcionaremos instrucciones detalladas sobre higiene y cuidados específicos para tu tipo de ortodoncia. Generalmente, recomendamos cepillado después de cada comida, uso de hilo dental y enjuagues bucales.
¿Cuál es el costo del tratamiento de ortodoncia en Clínica Dental ADES Badajoz?
El costo varía dependiendo del tipo de tratamiento y la complejidad del caso. En tu primera consulta gratuita en nuestra clínica de Badajoz, te proporcionaremos un presupuesto detallado. Ofrecemos diferentes opciones de financiación para hacer el tratamiento más accesible.
¿Con qué frecuencia necesito visitar la clínica durante el tratamiento?
Generalmente, programamos citas de seguimiento cada 4-6 semanas. Sin embargo, la frecuencia puede variar según tu tipo de tratamiento y progreso. En Clínica Dental ADES Badajoz, nos aseguramos de que cada visita sea conveniente y productiva.
¿Qué pasa después de que se retira la ortodoncia?
Después de completar el tratamiento activo, pasarás a la fase de retención. En Clínica Dental ADES Badajoz, te proporcionaremos retenedores y un plan de seguimiento para mantener tu nueva sonrisa. Es crucial seguir las instrucciones de retención para garantizar resultados duraderos.
¿Por qué elegir Clínica Dental ADES Badajoz para mi tratamiento de ortodoncia?
En Clínica Dental ADES Badajoz:
Contamos con un equipo multidisciplinario de especialistas
Utilizamos tecnología de vanguardia en diagnóstico y tratamiento
Ofrecemos tratamientos personalizados para cada paciente
Tenemos amplia experiencia en casos complejos
¿Cómo puedo programar una consulta en Clínica Dental ADES Badajoz?
Puedes programar tu consulta de varias formas:
Llámanos al 693 630 943
Envíanos un email a info@centrosades.es
Visita nuestra página web www.centrosades.es y utiliza nuestro formulario de contacto
Ven a nuestra clínica en Calle Castillo de Zafra 1, Badajoz
¡Estamos ansiosos por ayudarte a conseguir la sonrisa que siempre has deseado!
¿Necesito una consulta previa para saber si necesito ortodoncia?
Sí, es fundamental realizar una evaluación inicial para determinar si necesitas ortodoncia y qué tipo de tratamiento es el más adecuado para ti. En Clínica Dental ADES Badajoz, ofrecemos una primera consulta gratuita, incluyendo diagnóstico y opciones de tratamiento personalizadas.
Financiación 100% Flexible para Ortodoncia en ADES: Elige tu Plan de Pago
Financia tu Nueva Sonrisa:
🗓️ Hasta 60 meses de financiación
💳 Sin entrada inicial
🔄 Cuotas mensuales adaptadas a tu presupuesto


¿Por qué elegir nuestro plan de financiación?
Proceso sencillo y rápido
Aprobación inmediata en la mayoría de los casos
Sin sorpresas: cuotas fijas durante todo el período
En ADES, nuestro objetivo es que obtengas la sonrisa que mereces sin preocupaciones financieras. Nuestro equipo de asesores está listo para ayudarte a encontrar la opción de pago que mejor se adapte a ti.
No dejes que las limitaciones financieras te impidan tener la sonrisa que siempre has deseado. Contacta con nosotros hoy mismo y descubre cómo podemos hacer que tu tratamiento de implantes sea asequible y cómodo.
Opiniones Clientes
Descubre lo que dicen nuestros pacientes sobre su experiencia con nosotros.
Excelente atención y resultados. Mi sonrisa ha cambiado por completo. ¡Gracias!
María López
Badajoz
El tratamiento de ortodoncia fue excepcional. El equipo es muy profesional y amable. Estoy muy satisfecho con los resultados. ¡Recomiendo Ades Clínica Dental a todos!
Juan Pérez
Badajoz
★★★★★
★★★★★
Clínica Dental ADES Badajoz


Horario L-V
10:00am - 20:00pm
ADES
Centro integral en Badajoz: clínica dental, nutrición, fisioterapia y estética. Formación oficial única. Experiencia, tecnología, excelencia en salud y formación.
Servicios
Te llamamos
© 2024. All rights reserved.
