Paladar Inflamado: Causas, Tratamientos y Cuándo Ir al Dentista en Badajoz
2/2/20253 min leer


Paladar Inflamado: Causas, Tratamientos y Cuándo Ir al Dentista en Badajoz
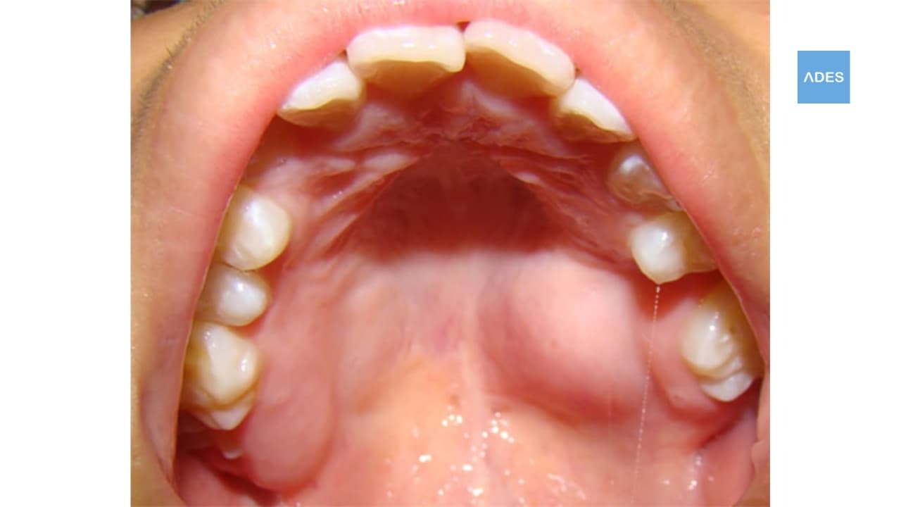
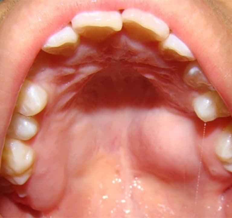
¿Has notado que tu paladar está inflamado o te duele al comer? Aunque muchas veces es un problema leve, en algunos casos puede indicar una infección o enfermedad bucal que necesita atención profesional. En Clínica Dental ADES, en Badajoz, te ayudamos a identificar la causa y a tratar el problema con las mejores soluciones.
En este artículo, te explicamos por qué se inflama el paladar, qué hacer para aliviarlo y cuándo es necesario acudir al dentista.
¿Por Qué se Inflama el Paladar?
El paladar inflamado puede tener varias causas, desde irritaciones leves hasta infecciones más serias. Algunas de las más comunes incluyen:
1. Quemaduras por Comida o Bebidas Calientes
Tomar café o sopa muy caliente puede dañar la mucosa del paladar y causar inflamación temporal.
2. Alergias o Reacciones a Alimentos
Algunos alimentos, como frutos secos o mariscos, pueden provocar reacciones inflamatorias en la boca.
3. Infecciones Bucales (Candidiasis, Herpes Oral, etc.)
El hongo Candida albicans puede generar una capa blanca en el paladar y causar dolor.
El herpes bucal puede provocar llagas en el paladar acompañadas de molestias.
4. Irritación por Tabaco o Alcohol
Fumar o beber en exceso puede resecar e irritar los tejidos del paladar.
5. Aftas o Úlceras Bucales
Pequeñas llagas que aparecen en el paladar por estrés, deficiencia de vitaminas o lesiones.
6. Gingivitis o Periodontitis Avanzada
Una infección en las encías también puede extenderse al paladar y causar inflamación.
¿Cuándo Deberías Preocuparte por un Paladar Inflamado?
⚠️ Si la inflamación dura más de 10 días.
⚠️ Si tienes fiebre o ganglios inflamados.
⚠️ Si aparecen llagas o heridas que no cicatrizan.
⚠️ Si sientes dolor intenso al comer o beber.
Si presentas alguno de estos síntomas, agenda una consulta en Clínica Dental ADES para recibir un diagnóstico y tratamiento adecuado.
Tratamientos para el Paladar Inflamado en Clínica Dental ADES
En Clínica Dental ADES, en Badajoz, tratamos la inflamación del paladar según su causa con las siguientes soluciones:
1. Enjuagues Bucales Antisépticos
✔️ Eliminan bacterias y alivian la irritación.
✔️ Ideales para casos de infecciones leves o aftas bucales.
2. Tratamientos para Infecciones Bucales
✔️ Candidiasis oral: Antifúngicos en enjuague o pastillas.
✔️ Herpes oral: Antivirales para reducir la inflamación y el dolor.
3. Cuidado de Encías y Limpiezas Profesionales
✔️ Si la inflamación es causada por gingivitis, realizamos limpiezas profundas para eliminar la infección.
4. Terapias para Alergias o Irritaciones
✔️ Si la inflamación es por un alimento o producto, identificamos la causa y recomendamos alternativas.
5. Recomendaciones para la Cicatrización
✔️ Evitar alimentos ácidos, picantes o calientes.
✔️ Mantener una buena higiene bucal.
✔️ Beber suficiente agua para evitar la resequedad.
Consejos para Prevenir la Inflamación del Paladar
✅ Cepilla tus dientes y lengua diariamente.
✅ Usa enjuague bucal sin alcohol.
✅ Evita consumir alimentos demasiado calientes.
✅ Reduce el consumo de tabaco y alcohol.
✅ Realiza revisiones dentales periódicas.
Preguntas Frecuentes sobre el Paladar Inflamado
1. ¿Cuánto Tiempo Dura un Paladar Inflamado?
Depende de la causa, pero la mayoría de las inflamaciones leves desaparecen en 3-7 días.
2. ¿Puedo Tratarlo en Casa?
Si es por una quemadura o irritación leve, puedes aliviarlo con enjuagues y evitar alimentos irritantes. Si persiste, es recomendable acudir al dentista.
3. ¿La Inflamación del Paladar Puede Indicar un Problema Grave?
En algunos casos, sí. Si no desaparece en 10 días o hay síntomas adicionales, es importante una evaluación profesional.
Por Qué Elegir Clínica Dental ADES en Badajoz para Tratar la Inflamación del Paladar
En Clínica Dental ADES, ofrecemos soluciones especializadas para la inflamación del paladar y otros problemas bucales:
✔️ Diagnóstico Avanzado: Exámenes clínicos y pruebas específicas según el caso.
✔️ Tratamientos Personalizados: Desde enjuagues hasta terapias específicas para infecciones.
✔️ Atención Profesional: Dentistas especializados en salud bucal integral.
✔️ Ubicación Estratégica: Estamos en Calle Castillo de Zafra 1, Local, Badajoz, con fácil acceso.
Agenda tu Consulta Hoy
Si tienes el paladar inflamado y no mejora con el tiempo, no lo ignores. En Clínica Dental ADES, en Badajoz, podemos ayudarte con un tratamiento adecuado y eficaz.
📞 Teléfono: 693630943
🌐 Web: centrosades.es
📍 Dirección: Calle Castillo de Zafra 1, Local, 06006, Badajoz
ADES
Centro integral en Badajoz: clínica dental, nutrición, fisioterapia y estética. Formación oficial única. Experiencia, tecnología, excelencia en salud y formación.
Servicios
Te llamamos
© 2024. All rights reserved.
